Periodontics
"Skilled Dentist That Is Also Compassionate."
The best in all facets of dental care. Experienced, knowledgeable and comforting. I owe my smile to them. You won’t find better for you whole family.
View On Google
Drs. Terry and Mary Ann were professional and pleasant to work with. My mouth/teeth were in very bad shape but they saved my teeth and my smile. I highly recommend them if you need a skilled dentist that is also compassionate. They are the best!
The Dental Works Team Offering Skilled Periodontics
At Dental Works, we provide a comprehensive range of dental services. Periodontal treatment is an important element of dental care that encompasses a variety of different treatments. We offer advanced solutions to dental problems and pay special attention to preventative exams so nothing goes unnoticed and untreated.
Drs. Terry Lee and Mary Ann Work prioritize patient health and safety above all else. Our high-tech, comfortable practice serves patients in the Scottsdale and greater Phoenix, Arizona, region with top-of-the-line dentistry. As a full-range provider of general dentistry and periodontics, our patients trust us to provide convenient and effective care. Schedule a consultation with Dental Works today. You can reach our practice online or call us at:
(480) 391-0099
Patients Describe Dental Works As... "The best in all facets of dental care."
Dr. Mary Ann was AMAZING. She made me feel very comfortable as I am not naturally someone who enjoys the dentist. Also, the cost of getting all of my wisdom teeth out was about half of other places. Very low-pressure office and didn't feel like I was being sold which was nice. This will be my new home dentist for a long time.
View on GoogleHighly recommend Dental Works for all your dental needs. A family dental business with full dental services from cleanings to implants. I've been a patient for years and have always felt appreciated, informed and well taken care of by Drs. Work and their staff. Great service and workable payment options for what ever care you or your family need.
View on GoogleThe Importance of Beginning Your Periodontal Care
Baseline Evaluation
One of the most valuable aspects of care is getting patients started with their initial exam and periodontal measurements. We want a thorough baseline evaluation so we know where we are starting. A periodontist can more easily spot potential concerns by comparing the results of your routine exams to these initial measurements. This also helps us establish the best long-term plan for each patient.
Patient Education
Often, patients don't realize the impact periodontal disease can have on their overall health. The team at Dental Works places special focus on patient education at the start of treatment, allowing patients to take an active role in their dental care. Individuals who are aware of the signs and consequences of periodontal disease tend to take better preventative action.
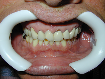
Rob Enjoys Better Periodontal Health
Diagnosing Periodontal Conditions
Reviewing Your Medical History
Speak to a periodontist about any symptoms you have noticed or any conditions that may run in your family. Other factors that can contribute to dry mouth and periodontitis include your medications and lifestyle choices, like smoking.
Oral Exam and Periodontic Analysis
A periodontist will look for visible symptoms of periodontal disease before performing specific tests designed to reveal the extent of the condition. Measuring the pocket depth of the space between the tooth and gumline is a good indication of gum health, as well as the severity of plaque buildup and gum bleeding.
X-Rays
Periodontal disease causes the loss of bone and tissue around a tooth. If a periodontist believes you may have gum disease, x-rays will be taken to check for bone loss.
Periodontal Disease View the Impact It Can Have on Your Oral Health
Have You Noticed Signs of Gum Disease? Call for a Consultation
Are you seeing signs of periodontitis? If so, it's important to make an appointment with the dentists at Dental Works in Scottsdale as soon as possible. The sooner you seek care, the better your chances of avoiding irreversible damage.
If the early form of gum disease, gingivitis, is left untreated, it will turn into periodontitis, a more severe form located in deep pockets where a toothbrush and floss cannot reach. As the disease advances, it can loosen teeth and cause them to fall out.
Unfortunately, gum disease is hard to detect by the untrained eye, which is why regular dental checkups are so important. If you have missed your regular checkups or notice symptoms of gum disease, such as seeing blood in the sink after you brush your teeth, request a consultation. Early intervention can help halt the progression of the disease.
(480) 391-0099
How Do You Treat Periodontal Disease?
While we emphasize the importance of preventive care, we also offer procedures to address gum disease. At our Scottsdale, AZ, practice, we can restore oral health with different surgical and non-surgical procedures.
Non-Surgical
When gum disease is caught early, we can recommend non-surgical periodontic techniques. Our practice offers PerioProtect® treatment, which delivers medication deep within the gumline, to areas that your toothbrush and mouthwash can't reach. The treatment involves the use of custom-designed trays that fit snugly on your dental arches. We also perform scaling and root planing treatments. Scaling will remove plaque and bacteria from your teeth and gums with laser technology; root planing smooths the root surfaces, discouraging further bacterial buildup.
Surgical
Advanced periodontal disease may require surgical treatment. One option is tissue grafting to fill in a receding gumline. The tissue is taken from a donor site and transplanted to the gumline to cover exposed roots and prevent further recession. To treat jawbone atrophy, a bone graft can be performed. This dental procedure can rebuild the bone tissue around the tooth root to prevent tooth loss or restore your ability to receive dental implants if you have missing teeth.
Advanced Technology Periodontic Dentistry
Periodontics takes advantage of modern dental technology to help diagnose and treat gum conditions. At Dental Works, we use lasers to make our procedures safer and more comfortable. Laser therapy is less invasive than traditional forms of treatment, allowing patients to recover faster with less post-procedure discomfort.
5 Stars!
"I have been coming here for years. Terry and Mary Ann are amazing! They are so patient with me as I have some dental issues. They always go above and beyond to make sure my teeth are healthy. If you are looking for a dentist that is caring and fun, then go to Dental Works. The staff is also excellent!" Cheryl Strom