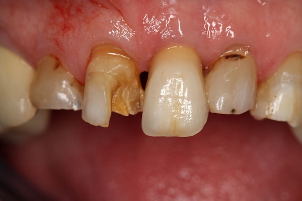
Before and after full mouth reconstruction

Full Mouth Reconstruction

Significant dental damage and decay not only affect the function of your smile, but can also make you feel self-conscious. Full mouth reconstruction is a customized restorative treatment plan that addresses multiple issues at once to completely repair your smile. Why should I consider full mouth reconstruction by Dental Works in Scottsdale, AZ?

The Benefits of Full Mouth Reconstruction at Dental Works

Save Your Remaining Teeth

If you have lost a tooth to significant decay, infection, or disease, those problems can also affect remaining teeth. Even if you lost a tooth in an accident, the resulting gap will cause jawbone recession. Addressing missing or damaged teeth is essential to maintaining your oral health.

Designed Just for You

A full mouth reconstruction is uniquely designed for each patient. When you come in for a consultation at our Scottsdale, AZ, office serving greater Phoenix, we will assess your smile and recommend a treatment plan that can best address your specific needs.

Better Smile, Better Life

If you are living with damaged or missing teeth, you know how difficult it can be to laugh, speak, or chew with comfort and confidence. Full mouth reconstruction can make your life better by restoring strength to your bite, health to your mouth, and form to your smile.

A New Lease on Life

Methamphetamine use can take a serious toll on many aspects of your health, including your oral health. Our doctors demonstrate how this procedure can help those who have overcome addiction restore their smiles.

The Basics of Full Mouth Reconstruction

A full mouth reconstruction serves patients with significant dental issues by combining multiple restorative treatments into a single personalized plan. If our doctors identify several different health concerns, you will likely need more than one treatment. A comprehensive plan not only addresses your entire smile, but it can sometimes make treatment more affordable, too. 

Full mouth restoration takes every unique aspect of your smile into consideration, including the position of your jaw and the alignment of your teeth. Because of this unique, personalized focus, a full mouth reconstruction by the team at Dental Works in Scottsdale, AZ, can provide you with a confident smile, improved health, and a better quality of life.

Start Your Restoration Journey Today

With the dentistry technology available today, there is no reason for anyone to go through life with a damaged smile. If you have significantly compromised oral health, the team at Dental Works in Scottsdale, AZ, can design a treatment plan to restore your smile completely. We serve patients from throughout the Scottsdale and Phoenix areas.

Schedule a consultation today by contacting us online or by calling:

(480) 391-0099

dental works

"They are the BEST!"

1

Francine W.

October 2019

Google logo

Dental Works Family Dentistry is by far the BEST dentistry in all of Arizona.  They provide exceptional care, offer a full range of services including general and specialized dental procedures saving you time and money, and utilize the most up to date advanced technologies.  Their staff is extremely caring and sensitive to your needs.  I can't say enough positive accolades about Dr. Terry and Dr. Mary Ann Works.  I've had extensive dental work done from a variety of dentists, and they are the BEST!

View On Google
1

Larry V.

October 2019

Google logo

If you want to be treated like you're your dentist's only patient you've found your new dentist! The Works are an amazing husband and wife team that will treat you like family. Great people! Great staff! And as a bonus, they're both are Veterans!
Dental Works rocks!!!

View On Google

Full Mouth Reconstruction Can Rejuvenate Your Smile

A full mouth reconstruction from Dental Works can improve the appearance of your smile while restoring your ability to speak clearly and chew comfortably. Our dentists, Drs. Terry Lee and Mary Ann Works, have the training, experience, and skill to restore even the most complex cases. We take the time to evaluate the needs, goals, and expectations of patients considering a full mouth reconstruction so that they can know exactly what to expect from treatment.

The Treatments Involved

When designing a treatment plan, we will explain all the solutions that are available. A full mouth reconstruction can combine many different restorative treatments, including:

Dental Implants

Dental implants are prosthetic tooth roots. Implants support crowns, bridges, and dentures while preventing the bone atrophy that occurs after tooth loss.

Learn More about Implants

Dental Crowns

Traditional crowns are tooth-shaped caps that cover a decayed or damaged tooth. Crowns can protect the tooth from further damage while strengthening the bite and restoring the appearance of your smile. Implant-supported crowns can be a restoration option for a single missing tooth.

Learn More about Dental Crowns

Dentures

Dentures can be custom-designed to restore multiple missing teeth. Dentures restore your ability to eat comfortably and speak clearly, and they can now be secured to implants for secure support. 

Learn More About Dentures

Periodontal Therapy

Periodontal therapy involves treating the health of the gums. Healthy gums are necessary for a healthy mouth, and periodontal therapy can address gum disease before it becomes too serious.

Periodontics

Fillings

Fillings repair cavities. Cavities should be treated before the decay spreads from the outside of the tooth to the inside of the tooth. Fillings restore strength to the tooth, and tooth-colored fillings can serve that purpose while appearing natural.

Contact Us to Learn More

Veneers

Porcelain veneers can address cosmetic issues such as cracked, chipped, or discolored teeth. Veneers are thin shells that attach to the front of a tooth, obscuring the tooth's imperfections and appearing totally natural.

Learn More about Veneers



Depending on your personal needs, these, and other procedures, such as a root canal, can be incorporated into your treatment plan.

"A fantastic experience."

1

Destiny F.

November 2019

Google logo

I went in for emergency services, I was so happy they were able to fit me in! It was quick, easy peasy and surprisingly a good time! Dr Works and staff are super friendly and funny. I highly recommend this office. Thank you Dr. Works you are my HERO!!!!

View On Google
1

Maggie M.

July 2019

Google logo

First time visit and it was a fantastic experience.  Staff is very friendly and thorough on my exam.  Dr. Mary Ann Work was thorough and detailed concerning my current and future needs.  A very warm and welcoming practice.  I highly recommend.

View On Google

Why Do I Need Full Mouth Reconstruction?

Perhaps you know your smile isn't Hollywood-level, and you've made peace with that. But when it comes to a smile compromised by a combination of conditions such as broken, decayed, or missing teeth, it's time to take action. This is because an unhealthy mouth can lead to other health problems, including:

Compromised Overall Health

Gum disease can increase your risk of heart disease and other serious health conditions. Meanwhile, missing teeth cause the jaw to atrophy and change shape. Addressing these issues through this comprehensive procedure has far-reaching health benefits.

candy kids sweet sugar dessert

Unhealthy Diet

When patients live with missing or broken teeth, chewing can be painful, which leads to the neglect of a healthy diet. Restoring your damaged teeth can enable you to eat the variety of healthy foods that your body needs.

Headaches

Headaches are often caused by an imbalanced bite or strained jaw joints. These can be addressed through full mouth reconstruction.

Conditions That Can Devastate Your Oral Health
If Left Untreated

Left untreated, seemingly minor oral health issues with your gums or teeth can worsen over time, leading to the need for more extensive treatment. With timely care, you're much more likely to avoid a full mouth reconstruction in the future. If you've been dealing with worsening oral issues, our dentists can combine multiple treatments to restore your smile.

Tooth Infection

Generally, root canal treatment from our dentists is enough to remove the infected pulp and save some of your natural tooth structure. If left untreated, the infection can spread to other teeth, putting your oral and overall health at greater risk. If the tooth is untreatable, we will recommend extracting it and replacing it with a dental bridge or implant–supported crown.

Misaligned Teeth

Crooked teeth can cause a misaligned bite, which can do more than make you feel self-conscious about your smile. Over time, your temporomandibular joint can grind, click, stiffen, or shift out of place. TMJ disorders can lead to further teeth grinding, damaged teeth, and constant pain. Invisalign® can realign your teeth, helping to prevent TMJ disorders.

Have You Been Delaying Treatment And Your Oral Health is Getting Worse?

It's never too late to rebuild your smile. Some people may have compounding dental issues with their gums and teeth. They might feel like it's too many issues at once to deal with. 

Drs. Terry and Mary Ann Work can create a comprehensive and personalized treatment plan that will turn your smile around. Not only will your health improve, but your self-confidence will increase as you complete dental treatments. 

Don't delay – the longer you wait, the worse off your teeth and gums may be. Request a consultation today at our Scottsdale office or call:

(480) 391-0099

"You will be in good hands."

1

Mary C.

July 2019

Google logo

We were a new patient with a need to have a tooth checked before going out of town, and they were able to see our daughter the next morning.  The staff was so kind and provided excellent service - Dental Works is now our provider!

View On Google
1

Katie Kurylo

2022

Google logo

Staff was amazing on the phone and in person. They were able to get me in first thing for an emergency. The dentist was so friendly, comforting, and professional, and really cared about my comfort and my happiness with the results. The office is spotless and modern. You will be in good hands, I recommend this practice.

View on Google

Sedation Dentistry Is Available for Your Comfort

For some patients, undergoing a series of dental treatments can be difficult to sit through. If you have dental anxiety or a medical condition that prevents you from remaining still, sedation dentistry can help ease the full mouth reconstruction process. 

Our Scottsdale dental office offers nitrous oxide, oral sedatives, and intravenous sedation to help make treatment comfortable. Also known as laughing gas, nitrous oxide is a milder form of sedation that wears off quickly after your dental procedure. Patients who receive an oral sedative or IV sedation will need to arrange a ride to and from our office, as they will be too groggy to drive themselves. 

Man relaxing in dental chair

The Initial Consultation

Because every full mouth reconstruction is unique and customized to the patient, some questions can only be answered by our dentists after a consultation. During this first appointment, our team will examine your mouth, collect information on your medical history, and ask about your dental goals. Once they have a fuller picture of your situation, they will be able to recommend the treatments that will restore your smile, and they will be able to answer questions about:

Affordability

Costs can vary significantly depending on which restorative procedures are chosen. For example, fillings, bridges, dentures, and crowns are almost always covered in at least some part by insurance, while the cost of dental implants usually is not. Dental Works offers a variety of payment options to help patients afford treatment, and we offer financing through CareCredit and Sunbit.

Length of Treatment

Treatment time will vary depending on the extent of your need and the number and complexity of procedures agreed upon between you and your dentist. Multiple procedures with less complexity can be performed in a single visit. In contrast, more in-depth treatments can take as long as nine months to a year to complete. Dr. Work can phase treatment according to your needs, schedule, and other factors.

Risks

The risks of your treatment will depend on the procedures involved in your plan. Potential risks for some of the treatments involved in full mouth reconstruction include infection, damaged nerves, or prosthetics becoming unstable after being improperly secured. Most of the risks potentially involved in treatment are minimal, and the risks are further minimized when working with the experienced doctors at Dental Works.

The Dental Works Difference

The team at Dental Works is committed to offering uncompromising excellence in dentistry to the Scottsdale and Phoenix, AZ, area. With over two decades of experience in dentistry, Drs. Terry and Mary Ann Work can provide expert care that addresses every issue affecting your smile.

We accommodate all members of our community, including those with special needs. Our goal is to exceed the expectations of our patients. By listening to those we are privileged to serve, we earn the trust and respect of our patients. To speak with a professional about smile restoration, reach out to our office today by contacting us online or by calling (480) 391-0099

dentistry team

​Factors to Consider  When Preparing for Treatment

Because a full mouth reconstruction is personally designed for each individual patient, your unique restoration plan will only involve procedures for which you are a strong candidate. In an initial consultation, to determine which treatments are right for you, our dentists will ask about some broad factors that can affect your ability to undergo dental treatment:

Smoking

Smoking leads to numerous oral and overall health issues. If you want to restore health to your gums and smile, you should quit smoking several months ahead of treatment and plan on ending the habit permanently.

Age

No one is too old for full mouth reconstruction, but older patients may have issues such as dry mouth that may require special ongoing care after this procedure. Some senior patients suffer from arthritis, which may require deep sedation in order to maintain comfort during each phase of this treatment. The dentists at Dental Works will take these factors into consideration to make your experience the best it can be.

Medications

Before undergoing any procedure, you must disclose to your dentist any medications you are taking so that he or she can make certain all risks are minimized and that there are no contraindications that could compromise your safety.

Special Needs

Patients with special needs require specific accommodations that we are happy to provide. Special needs patients of any age can qualify for full mouth reconstruction. The compassionate dentists at our Scottsdale practice have extensive experience working with special needs patients. 

"I had such a positive experience here."

1

Michelle Vander Lugt

2022

Google logo

Such a beautiful office, great staff members. Dr. Terry and his team are so professional and I had such a positive experience here. They even have a massage chair while you get your teeth worked on! Thank you so much for making this experience so we joy able!

View on Google
1

Priscilla Sweet

2022

Google logo

I was reccomended to this dentist because my case had been deemed "tricky". On the first visit they assessed my mouth very thoroughly and came up with a plan. Second visit I had a deep cleaning and a root canal on the same side. I didn't feel a thing. Their tools are the latest technology to make you comfortable. Their staff is friendly and they are always asking if you're doing good during the procedure. Dr. Mary Ann Work is a fabulous perio. Highly reccomend!

View on Google
Dental Works logo

Dental Works

Drs. Terry Lee Work and Mary Ann Work are the dentists of choice for many families throughout Greater Scottsdale. That's because our dentists:

  • Are affiliated with ICOI and the American Dental Association
  • Provide sedation dentistry for improved comfort and accommodation of special needs
  • Offer CareCredit® and Sunbit financing
  • Provide comprehensive dental care for patients of all ages

To schedule your consultation, contact us online or call us at (480) 391-0099.

Contact Us Today

Rate, Review & Explore

Social Accounts Sprite