Smiling mature man at business meeting

Dental Implants

Tooth loss can affect your appearance, self-confidence, and overall health. If you have missing teeth or need a tooth extraction, the dentists at Dental Works can rebuild your smile with a restorative dental implant. Learn how Drs. Terry Lee Work and Mary Ann Work can replace and restore dental implants at their Scottsdale, AZ, practice.

Dental Implants Offer a Lasting Solution

A Lifetime of Support

When properly cared for, dental implants can last for decades. While crowns or dentures will need to be periodically replaced, the titanium base of dental implants can provide a lifetime of benefits.

A Boost to Your Oral Health

When we lose teeth, the jawbone begins to atrophy, giving the appearance of a sunken face. Dental implants are the only treatment in modern dentistry that has been demonstrated to prevent jawbone atrophy after tooth loss and sometimes even reverse its effects.

A Smile You Can Be Proud Of

Missing teeth can influence how you perceive yourself. Because implants and their restorations replace natural teeth from root to crown, they provide superior aesthetics. You can also be confident in the stability of your results.

Dental Implants Can Revitalize Smiles See the Difference that Implants Can Make

Patient before dental implants
Before
Patient after dental implants
After
Thanks to dental implants, this patient no longer has to live with gaps in their smile.

Versatile Options  to Restore Function

Single Tooth

Whether you have lost a tooth due to trauma, infection, or decay, our cosmetic dentists can provide a custom dental crown to comfortably fill in the gap. Replacing a single tooth completes your smile and improves confidence. 

Multiple Teeth

Implants can secure a dental bridge to replace two or three adjacent teeth. Unlike traditional bridges, no modifications need to be made to your surrounding teeth, which allows you to keep your smile whole and healthy.

Full Arch

For patients who are missing one or both dental arches of teeth, our dentists can design implant-supported dentures that look and feel just like natural teeth. Better yet, you can have a reliable smile without the messiness of adhesives.

Are You Ready to Repair Your Smile? Contact Our Scottsdale and Phoenix-Area Practice

For patients who are missing a single tooth or multiple teeth, dental implants are the gold standard when it comes to tooth replacement. Implant dentistry from Dental Works in Scottsdale, AZ, can give you natural-looking results so that you can enjoy a beautiful smile for years to come.

Our cosmetic dentists can provide you with a custom made smile makeover that can include an implant-supported crown, an implant-supported bridge, or dentures anchored in place with dental implants.

If you live in the Scottsdale, AZ, area and want to learn more about your dental implant options, contact our cosmetic dentist office online or call:

(480) 391-0099

"Excellent skill with everything." Our Dentists Create 5-Star Smiles

1

Rosemary Cooke

2022

Google logo

Have been a patient for over ten years. Pleasant, helpful staff. Excellent skill with everything from routine cleaning to implants.

View on Google
1

Jerry & Larissa Getz

2023

Google logo

I can't say enough about the whole staff! I've never had a Dr. of any kind call me personally the next morning to ask how I was feeling... Please use them!!!!!!

View on Google

Dental Implants Can Restore Your Smile

Dental Implants are the best way to replace missing teeth. Implant placement at Dental Works takes less than an hour and is virtually painless. Dr. Terry Lee Work is an expert in placing implants and has also led mentorship programs for local implant dentists.

Implants Are Engineered to Stop Bone Loss

Tooth Loss and Bone Atrophy

Tooth roots do not simply provide a stable base for teeth, but they also stimulate the jawbone in order to let your body know that nutrients are still needed. If you lose a tooth, however, you also lose this crucial stimulation. Without treatment, the bone around a missing tooth begins to recede and the jaw itself atrophies. This has the effect of prematurely aging facial features in patients with missing teeth.

How Dental Implants Help

Dental implants keep your jaw healthy and strong by halting this process. The titanium posts of implants begin fusing with the bone in your jaw immediately after surgery in a process called osseointegration. Once fully fused, the titanium posts function like the root of the missing tooth or teeth and provide the necessary stimulation required to keep your jaw strong and healthy.

See How Implants Can Replace a Tooth or Multiple Teeth

Dental implants in a tooth gap
Before
Patient after getting implant restorations
After
You can see how the two implants are anchored into the jaw, offering excellent bite stability and remarkable aesthetic results.

Contact Our Office to See if You're a Candidate and Discover Why Scottsdale Chooses Us for Restorative Dentistry

Each team member at our Scottsdale, AZ, dental practice works together to realize a shared vision of uncompromising excellence in dentistry. In order to fulfill this mission, we are committed to listening to those we are privileged to serve so that we can earn the trust and respect of our patients, profession, and community. We strive for continuous improvement at all levels and our team of dental professionals maintains a creative, challenging, and compassionate environment to provide us the opportunity to exceed your expectations. 

Our dentists Dr. Terry Work and Dr. Mary Ann Work regularly attend continuing education courses to stay up-to-date with the latest developments in implant placement, periodontics, and dental implant technology. A mentor for multiple institutes, Dr. Terry Work lectures on implant placement and bone grafting techniques.

To schedule an appointment at our Scottsdale, AZ, dentist office, contact us online or call:

The front desk at Dental Work dentist office in Scottsdale, AZ.
Our team welcomes you to Dental Works!

"I can’t smile enough now." Compassionate Care in the Greater Scottsdale Area

1

Evo Starr

2022

Google logo

For over 25 years I was self conscious of my smile... I came in for a consultation and made an appointment with Dr. Terry the next day. Him and his team was very welcoming and accommodating (especially Ivonne, thank you for playing Bad Bunny during my procedure!) I can’t smile enough now and so happy it was such a pleasant experience.

View on Google
1

Frances Cardenas

2023

Google logo

110% recommend Dental Works❣️especially for individuals with special needs!.. I took my daughter there who is a special needs young vibrant adult... A very beautiful atmosphere and everyone is very kind and caring from the receptionist to all the aids. With all said and done words cannot express the gratitude, confidence, and comfort I receive taking my daughter there.. Thank You ❣️

View on Google

We Use Cutting-Edge Technology for Optimal Implant Placement

/

We use state-of-the-art technology to plan and position your titanium dental implants. Using 3-D CT scans and surgical guides, our dentists ensure optimal implant placement along the dental arch. Patients can experience excellent restoration stability, and an appearance that's virtually indistinguishable from natural teeth.

All-on-4 vs. Traditional Implant Dentures

All-on-4 and traditional full arch replacement are both viable options for treating extensive tooth loss. Let's consider why dentists may suggest one approach over the other.
All-on-4 denture

The All-on-4 Technique

With All-on-4, patients can have dental implants and a functional denture in just a single visit. In some cases, extractions and implant placement can be handled in the same appointment. Even patients with insufficient jawbone density for traditional implants can benefit from this fast and effective solution.

Traditional Implant Denture

Traditional Implant Denture

If a patient does not qualify for All-on-4, a traditional approach to full arch restoration is recommended. This will usually involve six to eight dental implants that support the denture. Bone grafting can be performed prior to implant placement in order to build up density along the dental arch.

Invest in Yourself Implants Offer a Lifetime of Benefits

  

The most common dental treatments to replace missing teeth are traditional dental bridges and removable dentures. Many patients choose these options as an affordable way to fill the gaps in their smile. However, while dental implants do cost more than traditional restorations, the long-term benefits provided far outweigh the price of the initial investment.

To help patients who may require assistance in order to finance their implants, our Scottsdale, AZ, dentistry office accepts CareCredit® and Sunbit financing.

Smiling patient and Dr. Terry Lee Work

The Cost of Not Seeking Treatment Delaying Implant Surgery Can Cost More Over Time

When left untreated, missing and severely damaged teeth can lead to oral health and cosmetic concerns, which can require multiple treatments to correct. By seeking dental implant treatment early, you can prevent future issues like:

  • Jawbone Atrophy
  • Gum Disease
  • Tooth Damage
  • TMJ
  • Dental Misalignment
  • Additional Tooth Loss

"Highly recommend this team for your dental needs!" Read Why Scottsdale Chooses Our Dentists

1

Carol Walden

2022

Google logo

All of the professionals in this practice - from Drs. Work to the assistants, hygienists and front office staff - are incredibly capable, caring and kind. I'm so pleased to have found them!

View on Google
1

Ben Barrantes

2022

Google logo

Great staff, friendly, and knowledgeable about their services! Highly recommend this team for your dental needs! Looking forward to dental whitening

View On Google

The Dental Implant Treatment Timeline A New Smile in Three Visits

Although the process may be long, your entire dental implant treatment only requires three visits to our Scottsdale practice. Once your third visit is complete, you will have a gorgeous smile that looks and functions just like natural teeth.
The time from initial consultation to final restoration spans several months.
The time from initial consultation to final restoration spans several months.

Consultation

One of our dentists will assess your candidacy and discuss your goals to see if implants are the right choice for you.

First Implant Surgery

Small incisions will be made in your gum tissue and the dental implants will be placed.

First Healing Period

During the osseointegration process, the implant will begin fusing with your jawbone. This can take four to six months.

Abutment Placement

An abutment is used to connect your replacement teeth to the implant. This second surgical procedure attaches the abutment to the dental implant.

Second Healing Period

The soft tissue in your mouth will heal around the abutment during this time.

Attachment of Restoration

Once the gums around the abutment are healed, our cosmetic dentist will place a crown, bridge, or denture which has been custom-made to blend in with your other teeth. 

Seamless Tooth Replacement Improving Patients' Health and Appearance

A patient with a missing tooth
Before
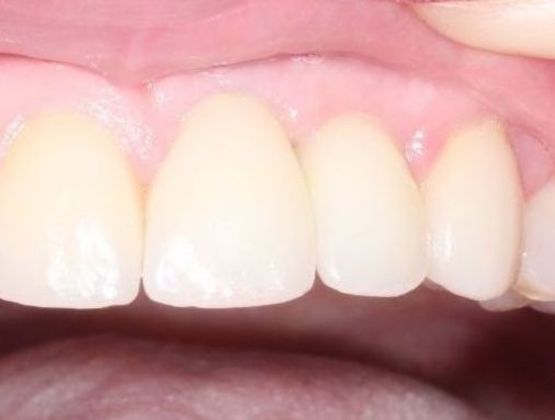
A patient after getting a dental implant
After
In this case of single-tooth replacement, the implant-supported crown is so well-crafted it blends in seamlessly with the surrounding teeth.

What to Expect After Surgery

The first days of recovery following dental implant surgery will be uncomfortable. You can expect minor bleeding and swelling, but this is normal.

Our doctors may prescribe antibiotics and antiseptic mouthwash to help fight infection. You should be able to return to work two to three days following surgery. However, you will need to avoid any strenuous physical activity until you are cleared by one of our doctors

Maintaining proper oral hygiene is important. You will need to be careful to brush slowly around the implant placement sites to avoid irritating the incisions. Use a soft-bristled toothbrush and keep your mouth clean and free from food particles that might become trapped in your gums. Rinse your mouth out thoroughly after each meal to get rid of food particles. Make sure you take care to let the water fall out of your mouth rather than forcefully spitting. Stitches will be removed one to two weeks following surgery.

Tips for Surgical Side Effects

We will provide you with personalized instructions on how best to handle side effects such as:

Swelling

Apply ice packs to your cheeks for the first 48 hours to reduce swelling, discomfort, and bruising. Sleeping with your head elevated may provide relief from swelling.

Pain

We may prescribe pain medication or recommend over-the-counter pain relievers. We take each individual case into consideration and suit treatments to the needs of our patients.

Bleeding

We will provide gauze to stop any bleeding in your gums. Minor bleeding is normal in the days following surgery, but if you experience any excessive bleeding, notify us immediately.

Dental Implant FAQs

Our Scottsdale and Phoenix-area practice answered some of the most frequently asked questions about dental implants.

How long do dental implants last?

Dental implants are permanent. While your restorations may need to be replaced one day, with proper care your implants can last for a lifetime.

How painful is dental implant surgery?

This depends on the type of dental implant procedure and your comfort level. We will thoroughly numb the area during surgery, and we can also provide sedation dentistry options to keep you comfortable throughout the procedure. Most patients can expect to experience discomfort the first 24-48 hours following surgery. 

Do they put you to sleep during surgery?

We can! We want you to always feel relaxed and comfortable at our practice. That is why we offer three forms of sedation dentistry: nitrous oxide, oral conscious sedation, and intravenous (IV) sedation. Our dentists can discuss your options during your consultation so you can find the best sedation option for you. 

Will I have to go without teeth while my implants heal?

Temporary restorations can be placed while your implants heal. While not as sturdy as your permanent restorations, they can improve your mouth's function and appearance during the healing process.

How long do I need to wait for dental implants after extraction?

We can extract your tooth and place your dental implants at the same appointment! This allows patients to start the healing process early and be even closer to achieving their oral health and aesthetic goals.

"I've found the doctors at Dental Works superb." The Dental Works Team Cares about You

1

David Fordon

2022

Google logo

Going to the dentist is not usually one's favorite thing, but I've found the doctors at Dental Works superb and geared to solving problems promptly, expertly, and with technical precision in a friendly environment with the patient's comfort and well being as a priority... ensuring the patient is well-informed, relaxed, and instilled with confidence that you're in good hands... highly recommend this practice and Dr. Terry Work and Dr. Mary Ann Work.

View on Google
1

Rosie Cooke

2021

Google logo

Highly recommend Dental Works for all your dental needs. A family dental business with full dental services from cleanings to implants. I've been a patient for years and have always felt appreciated, informed and well taken care of by Drs. Work and their staff. Great service and workable payment options for what ever care you or your family need.

View on Google
Dental Works logo

Dental Works

Drs. Terry Lee Work and Mary Ann Work are the dentists of choice for many families throughout Greater Scottsdale. That's because our dentists:

  • Are affiliated with ICOI and the American Dental Association
  • Provide sedation dentistry for improved comfort and accommodation of special needs
  • Offer CareCredit® and Sunbit financing
  • Provide comprehensive dental care for patients of all ages

To schedule your consultation, contact us online or call us at (480) 391-0099.

Contact Us Today

Rate, Review & Explore

Social Accounts Sprite